പല്ല് നശിപ്പിച്ച് എല്ലുകൾ വിരൂപമാക്കുന്ന രോഗം; ഫ്ലൂറോസിസ് ഭീഷണിയിൽ കേരളത്തിലെ ഈ ജില്ല, ഇടപെടൽ ഇല്ല; വില്ലൻ കുടിവെള്ളം

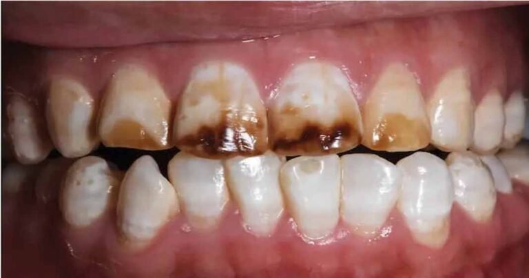
പല്ല് നശിപ്പിച്ച് എല്ലുകൾ വിരൂപമാക്കുന്ന രോഗം; ഫ്ലൂറോസിസ് ഭീഷണിയിൽ കേരളത്തിലെ ഈ ജില്ല, ഇടപെടൽ ഇല്ല; വില്ലൻ കുടിവെള്ളം ആലപ്പുഴ: ജില്ലയിലെ ഭൂഗർഭജലം ആശ്രയിക്കുന്ന പ്രദേശങ്ങളിൽ ഫ്ലൂറോസിസ് രോഗം വ്യാപകമാകുന്നുണ്ടെങ്കിലും പ്രശ്നപരിഹാരത്തിനായി കാര്യമായ നടപടികളൊന്നും ഉണ്ടാകുന്നില്ലെന്ന് പരാതി. ഭൂഗർഭജലത്തിന് പകരമായി നദികളിൽ നിന്നുള്ള ഉപരിതല ജലം എല്ലാ മേഖലകളിലും എത്തിക്കാൻ ഇതുവരെ സാധിച്ചിട്ടില്ല. അതേസമയം, ഭൂഗർഭജലത്തിലെ അമിത ഫ്ലൂറൈഡ് നീക്കം ചെയ്ത് സുരക്ഷിതമായി വിതരണം ചെയ്യാനുള്ള സംവിധാനവും പല ഇടങ്ങളിലും നിലവിലില്ല. 1999-ൽ വണ്ടാനം മെഡിക്കൽ കോളേജ് … Continue reading പല്ല് നശിപ്പിച്ച് എല്ലുകൾ വിരൂപമാക്കുന്ന രോഗം; ഫ്ലൂറോസിസ് ഭീഷണിയിൽ കേരളത്തിലെ ഈ ജില്ല, ഇടപെടൽ ഇല്ല; വില്ലൻ കുടിവെള്ളം